手術紹介 〜肺腫瘍〜
※この記事には、摘出した腫瘍の写真が掲載されています。臓器や血が苦手な方はご注意ください※
犬の肺腫瘍に対して、肺葉切除術を行いました。
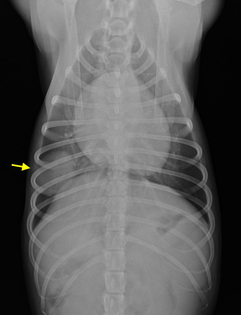
この症例は無症状でしたが、健康診断のレントゲン検査で、肺に単発性の腫瘍が発見されました。

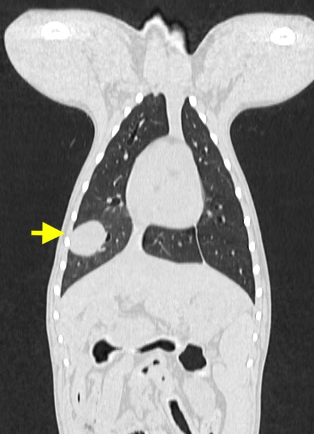
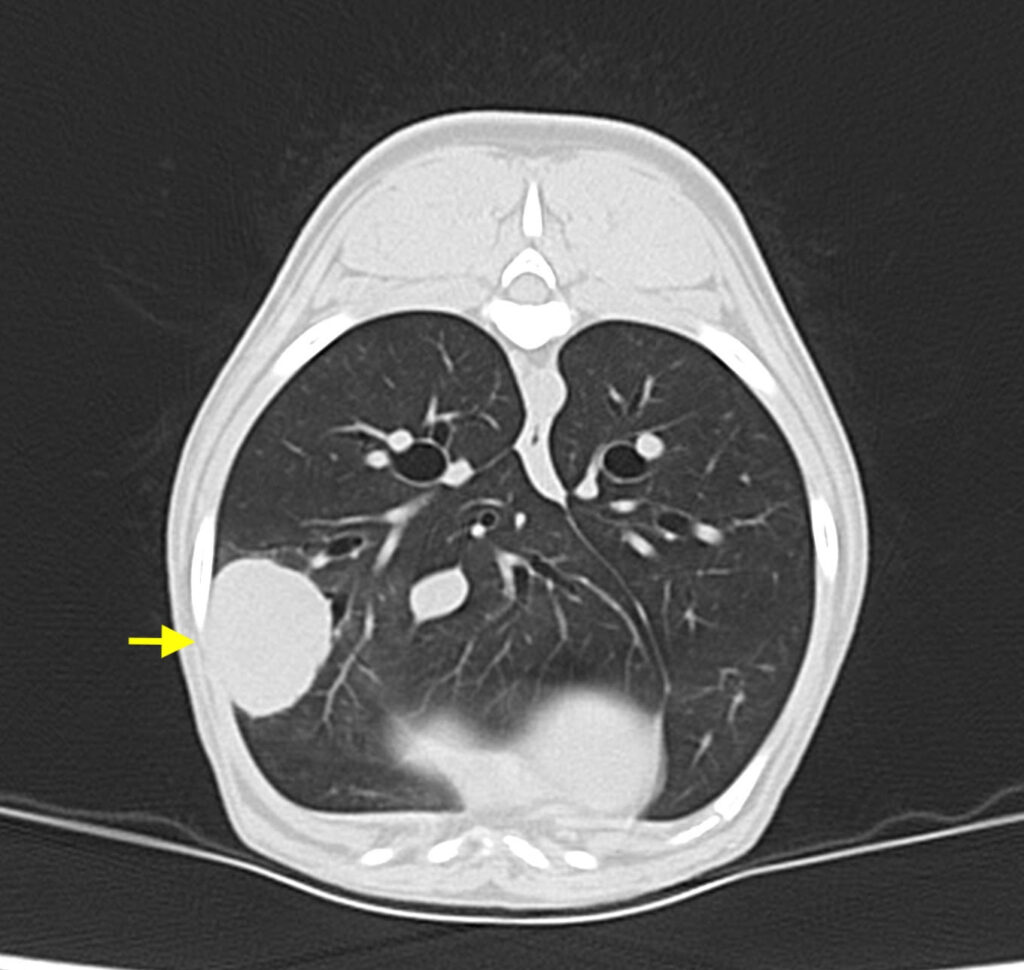
腫瘍の発生部位や転移の有無を精査するため、他院でCT検査を行なってもらい、外科的切除が適応と判断しました。


手術は当院で、肋間開胸術というアプローチ法で腫瘍がある部位の肺葉切除術を実施しました。
↓↓↓クリックすると鮮明な画像が表示されます↓↓↓

肺の手術では人工呼吸管理を行い、酸素化や換気状態を細かく管理します。
また、痛みのコントロールにも配慮し、鎮痛剤の併用によるバランス麻酔を実施しています。
術後も慎重な呼吸管理と疼痛管理を行い、合併症なく回復しています。
肺腫瘍は初期には症状が出にくい疾患ですが、早期発見・早期治療により予後の改善が期待できます。
当院では、何も症状がなかったとしても、年に1〜2回の健康診断をお勧めしています。
健康診断の項目など、いつでもご相談ください。
また、手術のセカンドオピニオンもいつでも対応しております。
お気軽にご相談ください。
玉川学園犬猫病院
獣医腫瘍科認定医 綿貫貴明